Cita Previa: 951 20 45 36
Nosotros
Tratamientos
Odontología
Implantes dentales
Endodoncia
Estética dental
Carillas estéticas
Ortodoncia
Invisalign
Prótesis dentales
Periodoncia
Odontopediatría
Casos clínicos
Financiación
Contacto
CITA PREVIA
Casos clínicos
Home
»
Casos clínicos
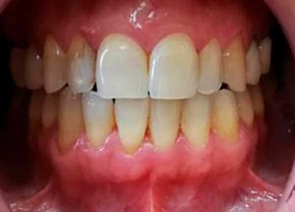
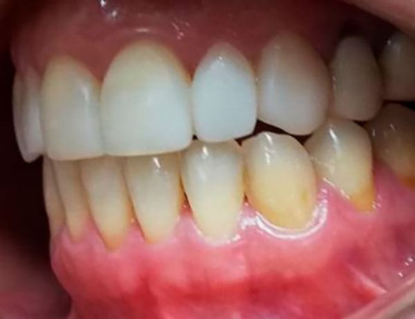
Carillas de composite directas en clínica caso 1
Antes
Después
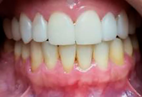
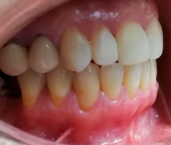
Carillas de composite directas en clínica caso 2
Antes
Después
Carillas de composite directas en clínica caso 3
Antes
Después
Prótesis completa removible caso 1
Antes
Después
Prótesis completa removible caso 2
Antes
Después